Quistes del riñón y el hígado - TC
   
Quistes del riñón y el hígado - TC

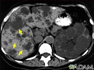
Esta TC abdominal muestra quistes en el hígado y los riñones (enfermedad poliquística). El hígado es el órgano grande situado en la parte izquierda de la pantalla. Las manchas oscuras sobre el hígado son los quistes.


Actualizado: 8/28/2023
Versión en inglés revisada por: Walead Latif, MD, Nephrologist and Clinical Associate Professor, Rutgers Medical School, Newark, NJ. Review provided by VeriMed Healthcare Network. Also reviewed by David C. Dugdale, MD, Medical Director, Brenda Conaway, Editorial Director, and the A.D.A.M. Editorial team.
Traducción y localización realizada por: HolaDoctor, Inc. www.holadoctor.net
La información aquí contenida no debe utilizarse durante ninguna emergencia médica, ni para el diagnóstico o tratamiento de alguna condición médica. Debe consultarse a un médico con licencia para el diagnóstico y tratamiento de todas y cada una de las condiciones médicas. En caso de una emergencia médica, llame al 911. Los enlaces a otros sitios se proporcionan sólo con fines de información, no significa que se les apruebe. © 1997- A.D.A.M., Inc. La reproducción o distribución parcial o total de la información aquí contenida está terminantemente prohibida.
adam.com