TC de metástasis hepática
   
TC de metástasis hepática

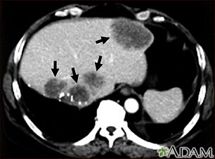
TC de la parte superior del abdomen de un paciente con carcinoma del intestino grueso que muestra metástasis múltiple hacia el hígado. Observar las áreas oscuras en el hígado (lado izquierdo y al centro de la imagen).


Actualizado: 10/27/2024
Versión en inglés revisada por: Laura J. Martin, MD, MPH, ABIM Board Certified in Internal Medicine and Hospice and Palliative Medicine, Atlanta, GA. Also reviewed by David C. Dugdale, MD, Medical Director, Brenda Conaway, Editorial Director, and the A.D.A.M. Editorial team.
Traducción y localización realizada por: HolaDoctor, Inc. www.holadoctor.net
La información aquí contenida no debe utilizarse durante ninguna emergencia médica, ni para el diagnóstico o tratamiento de alguna condición médica. Debe consultarse a un médico con licencia para el diagnóstico y tratamiento de todas y cada una de las condiciones médicas. En caso de una emergencia médica, llame al 911. Los enlaces a otros sitios se proporcionan sólo con fines de información, no significa que se les apruebe. © 1997- A.D.A.M., Inc. La reproducción o distribución parcial o total de la información aquí contenida está terminantemente prohibida.
adam.com