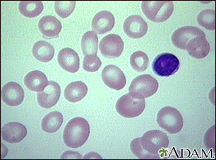
Anemia megaloblástica - Vista de los glóbulos rojos sanguíneos
   
Anemia megaloblástica - Vista de los glóbulos rojos sanguíneos

Esta fotografía muestra los glóbulos rojos grandes, densos y de enorme tamaño que se observan en la anemia megaloblástica. Este tipo de anemia puede presentarse cuando hay una deficiencia de vitamina B-12.


Actualizado: 10/14/2024
Versión en inglés revisada por: Warren Brenner, MD, Oncologist, Lynn Cancer Institute, Boca Raton, FL. Review provided by VeriMed Healthcare Network. Also reviewed by David C. Dugdale, MD, Medical Director, Brenda Conaway, Editorial Director, and the A.D.A.M. Editorial team.
Traducción y localización realizada por: HolaDoctor, Inc. www.holadoctor.net
La información aquí contenida no debe utilizarse durante ninguna emergencia médica, ni para el diagnóstico o tratamiento de alguna condición médica. Debe consultarse a un médico con licencia para el diagnóstico y tratamiento de todas y cada una de las condiciones médicas. En caso de una emergencia médica, llame al 911. Los enlaces a otros sitios se proporcionan sólo con fines de información, no significa que se les apruebe. © 1997- A.D.A.M., Inc. La reproducción o distribución parcial o total de la información aquí contenida está terminantemente prohibida.
adam.com