Nódulo pulmonar, solitario - TC
   
Nódulo pulmonar, solitario - TC

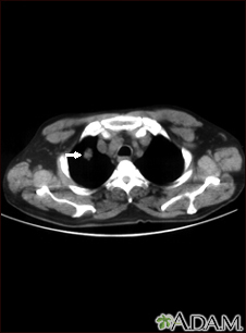
TC que muestra una sola lesión (nódulo pulmonar) en el pulmón derecha. Se puede ver el nódulo como un círculo claro en la parte superior del área oscura, al lado izquierdo de la imagen. Un pulmón normal aparecería completamente negro en una tomografía computarizada.


Actualizado: 11/10/2024
Versión en inglés revisada por: Jatin M. Vyas, MD, PhD, Roy and Diana Vagelos Professor in Medicine, Columbia University Vagelos College of Physicians and Surgeons, Division of Infectious Diseases, Department of Medicine, New York, NY. Also reviewed by David C. Dugdale, MD, Medical Director, Brenda Conaway, Editorial Director, and the A.D.A.M. Editorial team.
Traducción y localización realizada por: HolaDoctor, Inc. www.holadoctor.net
La información aquí contenida no debe utilizarse durante ninguna emergencia médica, ni para el diagnóstico o tratamiento de alguna condición médica. Debe consultarse a un médico con licencia para el diagnóstico y tratamiento de todas y cada una de las condiciones médicas. En caso de una emergencia médica, llame al 911. Los enlaces a otros sitios se proporcionan sólo con fines de información, no significa que se les apruebe. © 1997- A.D.A.M., Inc. La reproducción o distribución parcial o total de la información aquí contenida está terminantemente prohibida.
adam.com