Ultrasonido, normal - brazos y piernas del feto
   
Ultrasonido, normal - brazos y piernas del feto

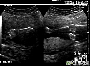
Ultrasonido normal a las 19 semanas de gestación en el cual se aprecia el tipo de proyección de la imagen en pantalla dividida que la madre puede observar durante el procedimiento, o que el técnico puede imprimir. Se observan el brazo izquierdo (al lado izquierdo de la pantalla) y las extremidades inferiores (al lado derecho de la pantalla) y las áreas blancas dentro de brazos y piernas son los huesos en formación.


Actualizado: 10/15/2024
Versión en inglés revisada por: John D. Jacobson, MD, Professor Emeritus, Department of Obstetrics and Gynecology, Loma Linda University School of Medicine, Loma Linda, CA. Also reviewed by David C. Dugdale, MD, Medical Director, Brenda Conaway, Editorial Director, and the A.D.A.M. Editorial team.
Traducción y localización realizada por: HolaDoctor, Inc. www.holadoctor.net
La información aquí contenida no debe utilizarse durante ninguna emergencia médica, ni para el diagnóstico o tratamiento de alguna condición médica. Debe consultarse a un médico con licencia para el diagnóstico y tratamiento de todas y cada una de las condiciones médicas. En caso de una emergencia médica, llame al 911. Los enlaces a otros sitios se proporcionan sólo con fines de información, no significa que se les apruebe. © 1997- A.D.A.M., Inc. La reproducción o distribución parcial o total de la información aquí contenida está terminantemente prohibida.
adam.com