Pulmonía aguda por varicela - Rayos X de tórax
   
Pulmonía aguda por varicela - Rayos X de tórax

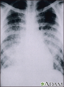
Esta radiografía muestra nubosidad en los pulmones debido a una neumonía aguda posterior a varicela. La neumonía rara vez se presenta como complicación de la varicela en los niños, pero sí ocurre en una quinta parte de los adultos.


Actualizado: 8/5/2023
Versión en inglés revisada por: Neil K. Kaneshiro, MD, MHA, Clinical Professor of Pediatrics, University of Washington School of Medicine, Seattle, WA. Also reviewed by David C. Dugdale, MD, Medical Director, Brenda Conaway, Editorial Director, and the A.D.A.M. Editorial team.
Traducción y localización realizada por: HolaDoctor, Inc. www.holadoctor.net
La información aquí contenida no debe utilizarse durante ninguna emergencia médica, ni para el diagnóstico o tratamiento de alguna condición médica. Debe consultarse a un médico con licencia para el diagnóstico y tratamiento de todas y cada una de las condiciones médicas. En caso de una emergencia médica, llame al 911. Los enlaces a otros sitios se proporcionan sólo con fines de información, no significa que se les apruebe. © 1997- A.D.A.M., Inc. La reproducción o distribución parcial o total de la información aquí contenida está terminantemente prohibida.
adam.com